矯正歯科
Orthodontics
マウスピース矯正(最新式矯正治療法)
最新式矯正治療法:マウスピース矯正
従来、矯正と言えば、銀色の金具(ブラケット)と銀色の針金(ワイヤー)を連想し、治療中は見た目が悪く、人と話す時は、口元を隠したくなります。
治療期間中の口元のことを考えると、どうしても、治療する決心がつかず、矯正を受けなかった方も多いかと思います。
それを改善しようと、「透明なブラケットと白いワイヤー」、「舌側(裏側)矯正」などができました。
しかし、これらは、違和感が強く、食事・会話・歯磨きがしずらく虫歯・歯肉炎(歯周病)にもなりやすく、粘膜を傷つけることもあり、針金(ワイヤー)交換時の痛みがあります。
そして、考えられたのが、透明なプラスチック製で、違和感が少なく、目立たず、痛い時、食事、歯磨き時に取り外しもできる最新式の矯正歯科治療法が「マウスピース矯正」なのです。
さらに、マウスピースの中にホワイトニング剤を入れれば、歯並びだけでなく、歯を白くすることもでき、美しい口元を獲得できる画期的な矯正法です。
マウスピース矯正のメリット(利点)とデメリット(欠点)
- メリット(利点)
- 針金、金具などの装置がない
- 治療期間中の見た目が良い
- 違和感がなく、話しやすい
- 取り外しができる。
- 痛みがほとんどない
- 歯磨きが楽
- 食事が楽
- ホワイトニングが同時にできる
- 毎回の治療時間が短い
- 金属アレルギーの方もOK
- 後戻りの対処が簡単
- 費用が安い
- デメリット(欠点)
- 患者さんの協力度(装着時間)により治療期間が変わる
- 全ての症例に適応できるわけではない
- 一時的にワイヤーや、拡大床(床矯正)インプラント矯正など他の方法を併用する場合もある。
マウスピース矯正に適した方
・矯正をしているのを他人に知られたくない方
・気になるのが前歯のみの場合(見た目重視の歯並び改善)
・でこぼこの歯並び(叢生、乱杭歯)
・すきっ歯
・でっ歯(重症時、適さないこともあります。)
・矯正後の後戻り
・成人矯正
・ホワイトニングを含め、口元をトータルできれいにしたい方
・痛がりな方
・人前で話すことが多い方
・金属アレルギーの方
・費用を抑えたい方

マウスピース矯正に適さない方
・奥歯を大きく動かす場合
・重度の歯列不正(外科処置が必要時)
・顎関節症・不定愁訴がある場合
マウスピース矯正でも何種類かあり、注意点があります
術前の模型から最終段階まで、一気に製作してくるタイプは矯正治療途中に、虫歯治療や外傷など事故によりかぶせ物を変えるなどをして、歯の形が変わると、そのあとに使用するマウスピースが使えなくなる可能性がありますので、ホームケアは細心の注意が必要です。
当院では、毎月、型を採り、2~3個ずつ製作するため、上記のようなことはありません。

他の矯正方法とマウスピース矯正の比較
術前の模型から最終段階まで、一気に製作してくるタイプは矯正治療途中に、虫歯治療や外傷など事故によりかぶせ物を変えるなどをして、歯の形が変わると、そのあとに使用するマウスピースが使えなくなる可能性がありますので、ホームケアは細心の注意が必要です。
当院では、毎月、型を採り、2~3個ずつ製作するため、上記のようなことはありません。
| ブラケット矯正 | 舌側矯正 | マウスピース矯正 | |
|---|---|---|---|
| 見た目 | 歯の表に装置と針金がつき 目立つ |
歯の裏に装置と針金がつき 見えない |
透明な装置なので目立たない 外すことも可能 |
| 取り外し | × | × | ○ |
| 装着感・ 話しやすさ | × | × | ○ |
| 虫歯・歯肉炎 | なりやすい | なりやすい | なりにくい |
| 歯磨きのやりやすさ | × | × | ○ |
| 食べやすさ | × | × | ○ |
| ホワイトニング | 矯正治療終了後 | 矯正と同時可能な場合もあり | 矯正と同時可能 |
| 適応症例の範囲 | ○ | ○ | △ |
| 費用 | 中 | 高 | 低~中 |
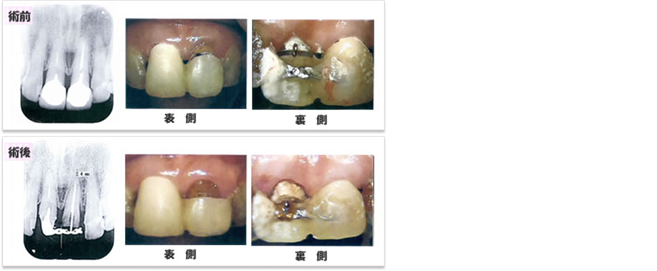
MTM(部分小矯正)
挺出(エキストルージョン)
埋まった歯を引き出します。


左側の前歯(写真上では右側)が硬い物を咬んだところ差し歯がグラついたとの事で来院され、
かけたところを取ると歯の奥が深くに埋まっているため、2.4mm程、1ヶ月で歯を引き上げました。
(担当:滝澤)
アップライト
斜めになった歯を起こします。

インプラント矯正
拡大床・床矯正・歯を並べるスペースを作る
拡大床・床矯正・歯を並べるスペースをつくるには、抜歯・非抜歯法があります。
抜歯
日本・アメリカでは抜歯が中心です。
横からの顔貌を変えるには有利な方法(Eライン)
通常は第1小臼歯を抜歯することが多い。
非抜歯
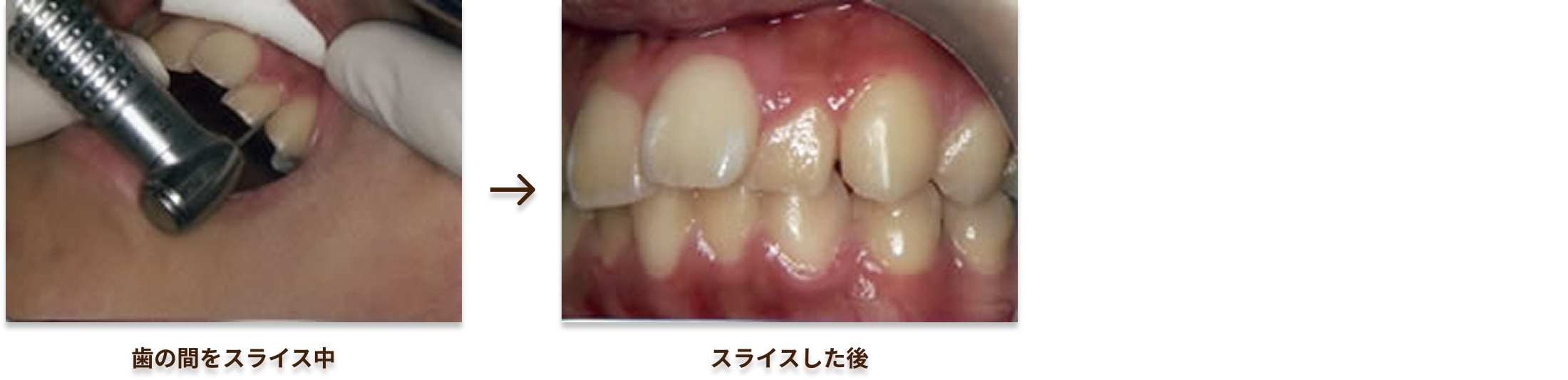
(1)隣接する歯面を削る方法(スライシング、ディスキング、スライス矯正)
ヨーロッパでは両隣の歯を削るのがポピュラーに行われる処置です。
歯を抜くよりは抵抗は少ない方が多いとは思いますが、実際歯を削って大丈夫なのかと思われるでしょうが、問題ありません。
なぜなら、削る量は歯の最表層のエナメル質の1/3位(約0.5mm以下)程度で、しかも、エナメル質には神経がないので麻酔なしで削っても痛みがでることはほとんどありません。
そして、削った面にはフッ素を塗布して、歯質を強化し、虫歯に対する抵抗性を増しますので、ブラッシングをしっかり続ければ問題ありません。
逆に歯が白濁し、脱灰状態(歯からリン酸カルシウムの結晶が溶けている、穴があく一歩手前)では、表面の弱いエナメル質を除き、フッ素塗布し、抵抗性が増します。

※一回で削る場合と、2-3回にわけて削る場合もあります。
(2)歯列拡大(拡大床・床矯正装置)
固定式と取り外し式の拡大装置があります。
当院では取り外し式を中心に行なっています。
歯の並んでいるアーチを広げます。(顔が大きくなるわけではありません)
小児が中心ですが、成人にも使用します。

矯正は治療のゴールをどこまで求めるかによって、治療法や期間が変わってきます。
矯正歯科治療の流れと料金について
第1回:初診相談
初診相談では口腔内の診査を行い、不正咬合の説明や矯正治療の一般的な内容についての説明をさせていただきます。
第2回:精密検査
不正咬合の状態を正しく知るために、歯型・口腔内や顔の写真・レントゲン撮影など必要な検査を行います。
また、大学病院でのレントゲン撮影も必要となる場合もあります。
第3回:診断(検査結果の報告)
精密検査から約1ヶ月後、診断結果に基づいて治療方法、治療期間、治療費、使用する装置などについて説明させていただきます。
第4回:矯正治療開始
矯正治療は治療時期、治療内容によって第1期と第2期に分けて進めていきます。
第1期治療(初期治療)
第2期治療(本格治療)
永久歯咬合がほぼ完成し、大きな成長発育の時期が過ぎてから、厳密に歯を動かして良い咬合を形成するための治療です。
※症状により大学病院へご紹介致します。
※最新式矯正治療法:マウスピース矯正の費用はこちらマウスピース矯正の費用
マウスピース矯正(前歯の審美矯正)では、臼歯部は動かしません。
透明で、金属や針金を使用せず目立たない取り外しのできる装置です。
| 内容 | ドックベストセメント |
|---|---|
| 検査診断料 1回のみ | 15,000円 |
| マウスピース矯正基本料 1回のみ | 300,000円 (片顎160,000円) |
| 装着・調整料 片顎1回分 | 10,000円/回 (上下20,000円/回) |
・ホワイトニング ジェル2週間分サービス
・歯の曲がり、ねじりの強い時はワイヤーを使います
・歯の間をスライスしてスペースを作ります(抜歯することもあります)
・期間・費用は短く、経済的です
・症例が限定されます

