虫歯治療
Treatment
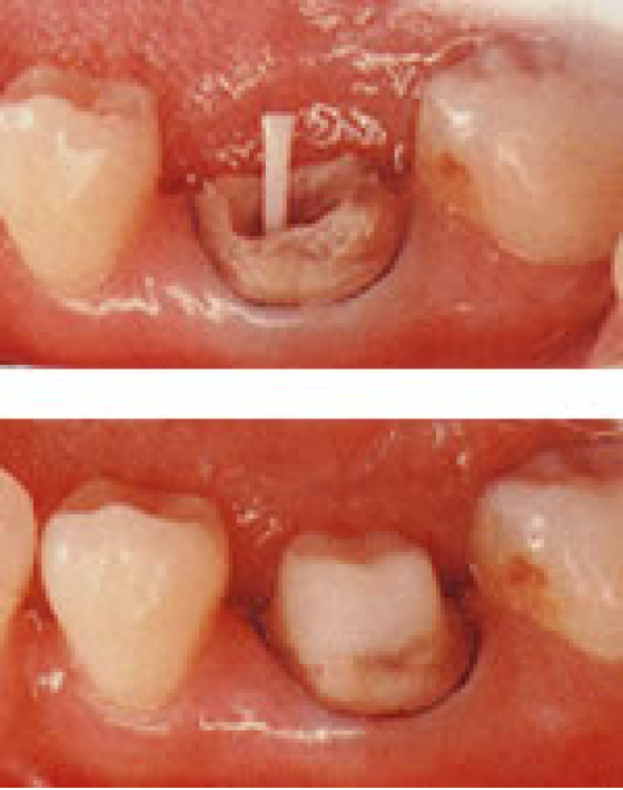
つめる治療
初期の虫歯に行う治療で、虫歯の部分を削り、その場でつめる方法です。
概要
回数:1回(無症状時)。型をとらないので1回の通院で治療できます。
虫歯の程度:軽度。初期の虫歯に行います。
適応:範囲の小さい場合
前歯・・・歯の1/3~1/4
奥歯・・・歯の1/3~1/4(隣の歯との間に及ばないもの)
保険適用内の治療
アマルガム
コンポレットレジン
保険適用外の治療(自費)
アマルガム

前歯に最適
・セラミックスとプラスチックの高分子化合で変色が少ない。
・深さに応じた色があり3~4層積み重ねるため、天然歯に近い色が出せます。
・ホワイトニング色にも対応。
・10,000円
詳しくは≫アマルガムの害、ノンメタル治療

回数:1回(無症状時)。型をとらないので1回の通院で治療できます。
虫歯の程度:軽度。初期の虫歯に行います。
適応:範囲の小さい場合
前歯・・・歯の1/3~1/4
奥歯・・・歯の1/3~1/4(隣の歯との間に及ばないもの)
はめる治療
軽度・中度のむし歯に行う治療で、虫歯の部分を削り、つめものを作ってはめ込む治療法です。
概要
回数:3回(無症状時)型どりあり(奥歯)

保険適用内の治療
銀歯(パラインレー)
金銀パラジウム合金・銀合金のことをいい、一般的に割合が12%金・40%銀・20%パラジウムの他、銅・亜鉛などを合わせた合金の詰め物。

・保険適用の材料となります。
・日常生活において、不自由はありません。
・個人差はありますが、長期間で変色・腐食することがあります。
また歯ぐきが黒ずむこともあります。
保険適用外の治療(自費)
オールセラミックス(E-MAX)インレー

セラミックスだけの詰め物
・自然の歯に近い透明感のある色と硬さ
・ほとんど変色しない
・2次的な虫歯になりにくい
・金属の溶け出しによる歯や歯ぐきの変色、金属アレルギーにならない
・強い衝撃を与えると割ることがありますが、逆に歯を守るというメリットがあります
ハイブリッドセラミックス~ハイブリッドインレー(グラディア)

セラミックスとプラスチックを混ぜ合わせて焼き固めた物
・自然の歯に近い色と硬さ
・オールセラミックより安価
・2次的な虫歯になりにくい
・硬すぎないので周りの歯にやさしい
・金属の溶け出しによる歯や歯ぐきの変色、金属アレルギーにならない
金合金(ゴールドインレー)

セラミックスとプラスチックを混ぜ合わせて焼き固めた物
・自然の歯に近い色と硬さ
・オールセラミックより安価
・次的な虫歯になりにくい
・硬すぎないので周りの歯にやさしい
・金属の溶け出しによる歯や歯ぐきの変色、金属アレルギーにならない
土台の種類
土台=コアです。神経をとってしまった歯はもろくなっていますので、その補強のために土台をいれ、そのあとでかぶせものをします。健康面・見た目・長持ち・費用のうちどれを重要視するかによって、合った土台が分かります。
重要視する項目
1. 健康面
金属アレルギー・咬み合わせ・細菌付着性・歯根破折
2. 見た目
自然の美しさ・変色・歯肉や隣の面との調和
3. 長持ち
虫歯になりにくさ・丈夫さ
4. 費用
保険適用内・自費
ファイバーコア
↓
ゴールドコア
↓
レジンコア
↓
パラコア
↓
銀合金コア
ファイバーコア
↓
ゴールドコア
↓
レジンコア
↓
パラコア
↓
銀合金コア
レジンコア
↓
銀合金コア
↓
パラコア
↓
ファイバーコア
↓
ゴールドコア
保険適用内の治療
メタルコア(銀合金)

・保険適用範囲内です。
・金属イオンが溶け出し、骨や歯肉が黒く色素沈着するため、歯肉の黒ずみが気になる方、金属アレルギーの方には不向きです。
・金属は硬く、たわまないため、根が破損しやすい。

レジンコア(プラスチック)

・保険適用範囲内です。
・歯質が2/3~3/4以上残存している時に可能。
保険適用外の治療(自費)
ファイバーコア(グラスファイバー製)

・弾性は天然歯に近くたわみに屈曲しながら力を分散するため、歯への負担を大幅に軽減し、また高い破損強さを発揮します。
・金属アレルギーの心配がありません。
・金属イオン溶出による歯肉の色素沈着防止。
・再治療時にも歯質を傷めずに除去が可能です。

メタルフリーコアにより、歯肉や歯冠部に金属色の透過がないため、色調に影響を与えにくく、より天然歯に迫る色調再現が可能です。
オールセラミックスとの組み合わせが現時点、最もきれいに差し歯が入ります。
かぶせる治療(前歯)
健康面・見た目・長持ち・費用のうちどれを重要視するかによって、合ったかぶせものが分かります。
重要視する項目
1. 健康面
金属アレルギー・咬み合わせ・細菌付着性・歯根破折
2. 見た目
自然の美しさ・変色・歯肉や隣の面との調和
3. 長持ち
虫歯になりにくさ・丈夫さ
4. 費用
保険適用内・自費
オールセラミックス
↓
メタルボンド3DMB
↓
硬質レジン前装冠
オールセラミックス
↓
メタルボンド3DMB
↓
硬質レジン前装冠
硬質レジン前装冠
↓
メタルボンド3DMB
↓
オールセラミックス
保険適用内の治療
硬質レジン前装冠

・保険適用範囲内です。
・微妙な色調、透明感が再現できません。
・2~3年で黄色~茶色に変化することがあります。
・材料がプラスティックなので、表面が擦り減ってツヤがなくなることがあります。
・水分を含むので、プラークがつきやすいため、口臭の原因になることがあります。
メタルボンドクラウン

金属で作ったかぶせものの表面に、セラミックスを焼き付けて、天然歯と同じような美しさを再現します。
・中身が金属なので割れにくい
・中身の金属に貴金属を使用すれば金属の溶け出しによる歯や歯ぐきの
変色、金属アレルギーになりにくくなる

詳しくはセラミックスのページをご覧下さい
オールセラミックスクラウン
ジルコニア
・自然の歯に近い透明感のある色と硬さ
・ほとんど変色しない
・2次的な虫歯になりにくい
・金属の溶け出しによる歯や歯ぐきの変色、金属アレルギーにならない
ジルコニアE-MAX
・自然の歯に近い透明感のある色と硬さ
・ほとんど変色しない
・2次的な虫歯になりにくい
・金属の溶け出しによる歯や歯ぐきの変色、金属アレルギーにならない
強い衝撃を与えると割ることがありますが、逆に歯を守るというメリットがあります

詳しくはセラミックスのページをご覧下さい
かぶせる治療(奥歯)
健康面・見た目・長持ち・費用のうちどれを重要視するかによって、合ったかぶせものが分かります。
重要視する項目
1. 健康面
金属アレルギー・咬み合わせ・細菌付着性・歯根破折
2. 見た目
自然の美しさ・変色・歯肉や隣の面との調和
3. 長持ち
虫歯になりにくさ・丈夫さ
4. 費用
保険適用内・自費
オールセラミックス
↓
ゴールドクラウン
↓
メタルボンド3DMB
↓
パラクラウン
オールセラミックス
↓
メタルボンド3DMB
↓
ゴールドクラウン
↓
パラクラウン
ゴールドクラウン
↓
メタルボンド3DMB
↓
オールセラミックス
↓
パラクラウン
パラクラウン
↓
メタルボンド3DMB
↓
ゴールドクラウン
↓
オールセラミックス
保険適用内の治療
パラクラウン(銀歯)

・保険適用範囲内で経済的です。
・丈夫です。
・金属ですので、口を開けたり笑ったときに目立ち審美的な難があります。
・保険負担金は保険負担割合(0.1~0.3)
歯の場所、歯面、神経の有無等により異なります。
又、改正や金属価格が大きく変動した時は価格が変わることがあります。
保険適用外の治療(自費)
セラミックス

メタルボンドクラウン
オールセラミックス *1番奥と2番目の奥歯は除く
すべてセラミックスで造られています。金属を使っていないため、金属アレルギーの方にも安心です。 自然な美しさを表現でき、天然歯のエナメル質と同じくらい硬く磨耗しにくく、変色もしないため素材の中でも最高峰となります。
詳しくはセラミックスのページをご覧下さい
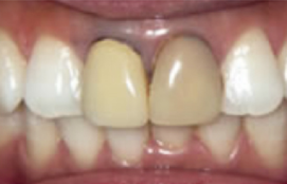
治療例(メタルボンド)


アマルガムQ&A(アマルガムの害)
近年ではアマルガムの使用量は減少しています。安全性を疑問視する声があがっていますが今まで使用してきて問題はなかったという事で、現在でも使用し続けている医療機関がありますが、健康を害する可能性のある疑わしい材料なので除去してつめかえる事をおすすめします。
⇒イライラ、頭痛、めまい、アレルギー、不眠、肩こりなど
2.重金属が内臓へ蓄積、ホルモンバランスの乱れ
⇒免疫力低下(リウマチ、膠原病の原因のこともある)
3.溶け出した重金属⇒皮膚の真皮層に蓄積
⇒肌の老化を進めてしまう。
4.体に蓄積された重金属(腎臓・肝臓・脳)
⇒活性酸素を発生させ細胞にダメージを与え、細胞の老化を加速させる。活性酸素がDNAを傷つけるとガンの原因となることもある。
5.アマルガムは口の中で劣化し、唾液、果物、野菜、コーヒー、お茶などに反応して腐食し続ける。
6.物を噛む時に摩擦が生じ、その熱で水銀を含んだ蒸気を発生する。
7.アマルガムは3年以内に劣化の徴候を示し、10年後には総重量の約73%に減少。(体内に流出、自覚のないままに吸収されている)
8.水銀が体内に入りタンパク質と結合する。
⇒過剰反応がでる
⇒アトピーのような皮膚炎・手のひら、足の裏に水泡状の湿疹(掌蹠膿疱症)
9.水銀のため妊娠しにくくなる。
10.水銀が胎児や母乳まで届くおそれがある。
11.溶けやすいので隙間から虫歯の再発する確率が詰め物の中で一番高い。
12.アマルガムの成分が溶け出し、歯、歯肉、歯根まで着色し、黒ずんでしまい審美的に悪くなる。
・1998年4月イギリス厚生省は妊婦のアマルガムの水銀が体内に吸収され、胎児まで届き、また母乳まで移行する危険性があると発表し、妊婦にはアマルガムの詰め物をしないように警告を発した。
◎スウェーデン
・スウェーデン政府健康福祉局は、妊婦は胎児の安全のために妊婦期間中にアマルガムの治療を受けてはいけないと発表。(46名の母親の母乳を検査するとアマルガムの詰め物が多いほど母乳中の水銀濃度が高いとの研究結果が出た)・ウブサラ大学毒物学部では動物実験でも上記のことを確認している。
◎アメリカ
・最近「アマルガム充填の危険性を広く喚起し、5年を目途に歯科界から撤廃する」法案を米国議会に提出するとの報告がなされた。アマルガムについて連邦レベルでの初の法案となる。
・コロラド州
すでにアマルガム充填の制限が法制化されている。
・メーン州・アリゾナ州
2000年に「歯科医師が水銀の潜在リスクに関する詳しい情報を患者に提供すること」が義務化された。
・ロードアイランド
コストが高い水銀不使用(ガリウム)のアマルガムを用いた治療へ保険適応を要求し始めた。
・カリフォルニア州
カリフォルニア州知事が水銀を使用した「体温計、ワクチン、消毒剤」の水銀撤廃の法制化に向けて法案提出
6歳の自閉症児ダニエル・ガレアノちゃんの両親が、カリフォルニア州歯科医師会を訴えた。 母親の口腔内に施された9箇所のアマルガム充填が子供の自閉症の原因になったとするもの。 アマルガムの毒性成分が胎児に移行し、予測できないダメージを与えたという。 (アマルガムの50%を占める水銀は人体に有害な物質の中でも最も神経毒性が強い。自閉症は神経失調で生じる発育不全症のひとつ)
被告側にはカリフォルニア州医師会ほか、アマルガム充填材料を供給する20社を超す歯科材料会社も含まれる。主訴は「患者の安全を脅かし、毒物をおもむくままに販売し続けたこと」、「不当な治療を続けたこと」、「商法上の詐欺罪にあたる」など
・専門家の水銀毒性の権威、ケンタッキー大学ボイド・ハーレー教授はアマルガムと自閉症の因果関係が明らかになり
認められる可能性が高いと話している。現在、アマルガムのある患者の血中尿中には5~6倍の水銀が検出されていることがわかっている。
・以前にもアマルガムを「銀の詰め物」と偽って使い続けたとカリフォルニア州歯科医師会は訴訟を起こされた。
・10年近く前、アマルガムを危惧する消費者団体から歯科医師会は対応を迫られていた。
が、カリフォルニア州歯科評議会はこの間報告書を提出せず、対応を見送っていた。
これに対し評議院のリコール要求が出され、カリフォルニア州立法府はリコールを採決、
評議員を総入れ替えし、議会は大荒れとなった。
また、1997年、京都市内の小学生250人を調べると38%がアマルガム充填してあり、その中で皮膚炎のある小学生は48%なのに対し、アマルガム充填のない小学生は8%だったとのこと。
「歯科用水銀アマルガムに関する質問主意書」が国会に提出されています。それに対する厚生労働省の答弁書によると、現時点ではアマルガム充填とアトピー性皮膚炎との間に因果関係があるかどうかは明らかではないこと、 アマルガムは歯科素材としての有効性が認められており、歯科医師が個々の患者の特性を十分考慮しながら使用するものであるが、現段階では使用を禁止することは考えていないが、今後とも情報収集など適切な医療への提供の推進に努める旨などが述べられています。


